Dünyanın en güçlü MRI makinesi ile alınan ilk beyin taramaları paylaşıldı
Dünyanın en güçlü MRI makinesi ile alınan ilk beyin taramaları paylaşıldı. Bu sistem araştırmacılara büyük imkanlar tanıyabilir.
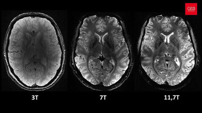
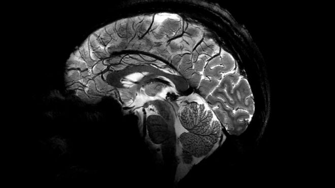
Fransa Alternatif Enerjiler ve Atom Enerjisi Komisyonu (CEA) tarafından geliştirilen Iseult MRI makinesi, aktarıldığı kadarıyla tam 11.7 Teslas (T) gücünde çekim gerçekleştirebiliyor. Söylendiği kadarıyla hastanelerde kullanılan normal MRI makineleri genelde 3 Teslas (T) gücün üstüne çıkmıyor, bu gerçekten çok ciddi güç farkı sayesinde normalden daha yüksek detay alınabiliyor. Yukarıdaki görüntüler de bahsi geçen makine ile kayıt altına alınan ilk insan beyni detaylarını karşımıza getiriyor. Bizim farkı anlamamız elbette çok zor ancak görsellerde doktorların normalde görmediği inanılmaz detayların olduğu, bu detayların beynin nasıl çalıştığını daha iyi anlamamıza ve nörodejeneratif hastalıkları (Alzheimer ve Parkinson gibi) daha iyi şekilde tedavi etmemize yardımcı olacağı söyleniyor. Normal MRI sistemleriyle böyle detaylı görüntülerin alınması için bir hastanın tam iki saat boyunca yatarak hareketsiz kalması gerekirken, “Iseult” ile sonuç sadece dört dakikada alınabiliyor. Gücüne bağlı olarak çok büyük olduğu aktarılan 132 tonluk makinenin, içindeki mıknatısları soğutmak için tam 7.500 litre sıvı helyum kullandığı aktarılıyor.
İLGİNİZİ ÇEKEBİLİR
Bundan önce bir zihin okuma teknolojisi gündeme gelmişi. Sistem bunun için özel bir yapay zekâ temelli dil modeli kullanıyordu. Düşündüklerinizi yazıya geçiren bir sistem nasıl olurdu? Bu konuda çok uzun yıllardır çalışanlar bulunuyor. Süreci şimdi bir kez daha gündeme getiren ise Austin’deki Teksas Üniversitesi araştırmacıları oluyor.
“Semantic Decoder” adını verdikleri bir sistem geliştiren araştırmacılar, yapay zekâ temelli dil modelinden güç alan bu sistem ile düşünceleri yüksek sayılacak bir doğruluk seviyesinde yazılı hale getirebiliyor. Bu sistemin en büyük fark yarattığı nokta, insan beynine fiziksel bir bağlantı gerektirmiyor olması. Yani beyin sinyallerini okumak için bir beyne ameliyat ile bir cihaz takılması gerekmiyor, bunun yerine Kranial Fonksiyonel Manyetik Rezonans Görüntüleme (fMRG) teknolojisi kullanılıyor.
Kurdukları sistemi eğitmek için araştırmacılar, hikâye dinletilen üç kişinin beyin tepkilerini 16 saat boyunca kayıt altına almış. Bu sayede çalışır hale getirilen sistem, beynin bir dizi kelimeyi duyduğunda nasıl tepki vereceğini önemli bir doğrulukla tahmin edebilir hale gelmiş. Şimdilik sadece laboratuvar ortamında kullanılabilen sistemin, ileride Fonksiyonel Yakın Kızılötesi Spektroskopisine (fNIRS) dayalı bir teknoloji ile daha portatif hale getirilmesi hedefleniyor.
Peki bu “Semantic Decoder” teknolojisi tam olarak ne işe yarayacak? Burada çok önemli bir odak nokta bulunuyor. Bu sistem sayesinde zihinsel olarak bilinci açık ancak fiziksel olarak konuşamayan, örneğin felç geçiren bazı kişilerin tekrar anlaşılır bir şekilde iletişim kurması sağlanabilir. Üzerinde çalışmaların devam edeceği sistem, ileride çok büyük oranda konuşma güçlüğü yaşayan kişilerin hayatlarını da oldukça kolaylaştırabilir.











